podotitrepodo
Share

FMC UNIVADIS


Comment interpréter la radio de pied suivante?

Objectif : Connaître les variantes de la normale sur les incidences radiologiques du pied.

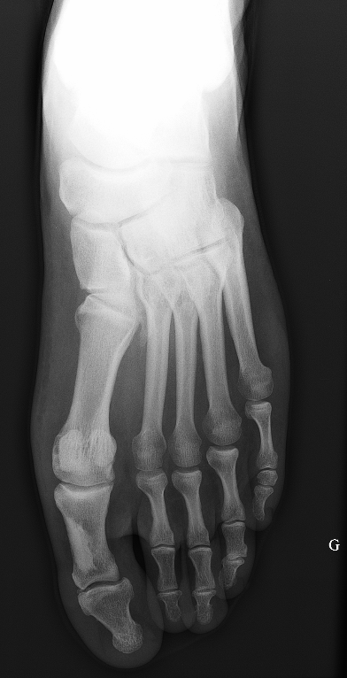
Le cas : Mr.S., 32 ans, consulte aux urgences pour douleurs du pied gauche en inversion forcée. A l’examen on note une douleur de la base du 5ème métatarsien à la palpation et à l’éversion contrariée. La malléole latérale est indolore. Il n’existe pas de douleur à la mobilisation de la transverse du tarse. La marche est difficile. Devant ces signes cliniques, vous demandez un bilan radiographique. Vous êtes attiré par une image radiologique qui semble sans rapport avec ce traumatisme. Voici une partie des images que vous obtenez:

Auteurs

Dr. Jean Paul Fontaine,
praticien hospitalier, Service d’Accueil d’Urgences, Hôpital Saint-Louis APHP, Paris.

Le Cas

Mr.S., 32 ans, consulte aux urgences pour douleurs du pied gauche en inversion forcée. A l’examen on note une douleur de la base du 5ème métatarsien à la palpation et à l’éversion contrariée. La malléole latérale est indolore. Il n’existe pas de douleur à la mobilisation de la transverse du tarse. La marche est difficile. Devant ces signes cliniques, vous demandez un bilan radiographique. Vous êtes attiré par une image radiologique qui semble sans rapport avec ce traumatisme. Voici une partie des images que vous obtenez:

Rx pied


Question 1 : Sur quel segment osseux localisez-vous cette image ?

A.Deuxième phalange de l’hallux

B. Première phalange de l’hallux

C. Premier métacarpien

D. Sésamoïdes

E. Aucune de ces réponses


Question 2 : Quel diagnostic évoquez-vous ?

A. Une mélorhéostose

B. Un ilot condensant

C. Un ostéochondrome

D. Une métastase ostéo-condensante

E. Une ostéite


Question 3 : Quel traitement envisagez-vous?

A. Chimiothérapie

B. Radiothérapie

C. Chirurgie

D. Antibiothérapie

E. Aucun traitement


Analyse de l'image :

Sur ce cliché de pied, on objective une opacité située sur le bord médial (interne) de la première phalange de l’hallux, « appendue » à corticale médiale. Il n’y a aucune déformation de la corticale ni d’image lacunaire (ce qui écarte une tumeur osseuse primitive maligne et un ostéochondrome). Cette opacité est homogène, sans clarté centrale ni aspect piqueté. Cette image n’est pas arrondie, elle ressemble plutôt à une coulée de bougie. Il s’agit d’une image de mélorhéostose.


Un message :
Une condensation osseuse en coulée de bougie doit faire évoquer une mélorhéostose.

Pour en savoir plus :
Classical and unusual imaging appearances of melorheostosis. Suresh S, Muthukumar T, Saifuddin A. Clin Radiol. 2010 Aug;65(8):593-600. 
Melorheostosis: a radiological and clinical case report. El Mhabrech H, Gamaoun W, Arifa N, Zrig A, Mseddi M, Mokni M, Tlili Graiess K. J Radiol. 2007 Mar;88(3 Pt 1):397-400.